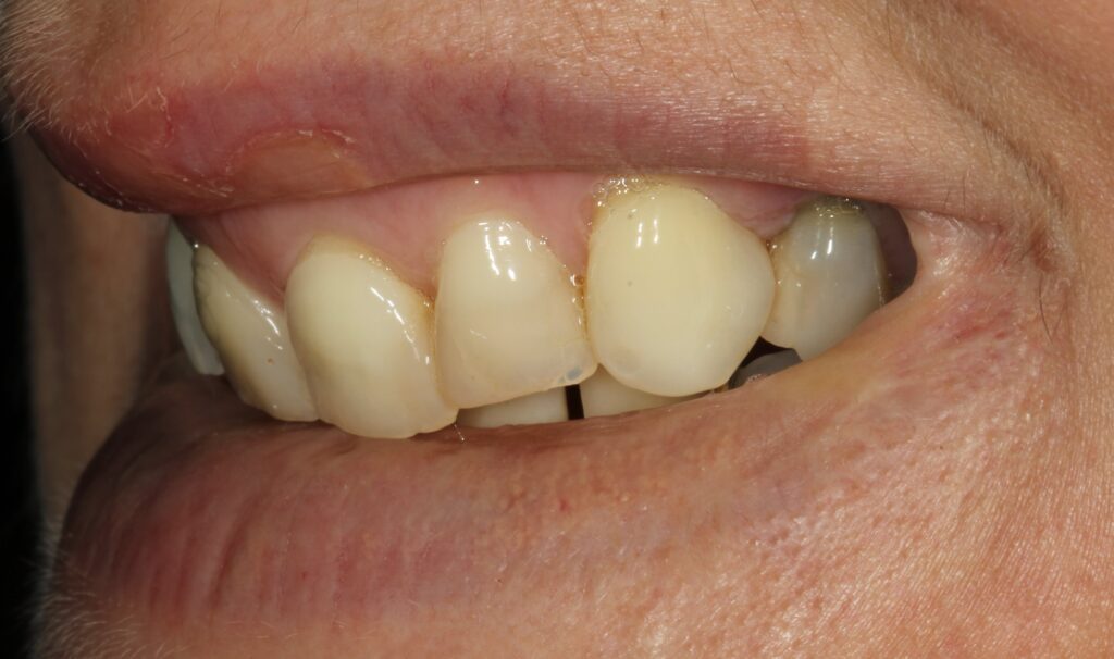
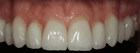
Dental Veneers Before and After
Thinking about veneers but not sure what to expect? Seeing real results can be one of the most helpful ways to picture your own smile transformation. At Designer Smiles, we take a personalised, facially-driven approach to smile design. Every case is carefully planned by Dr Sarkis, who works closely with master ceramists to create veneers that look natural, balanced, and age-appropriate.
Our goal is simple: to design a smile that enhances your features, feels comfortable, and gives you the confidence to share it every day.

Real Patients. Real Results.
The following before and after images showcase the difference veneers can make for a range of dental concerns, including:
- Discolouration that doesn’t respond to whitening
- Chipped or worn teeth
- Gaps between teeth
- Mild crowding or uneven shapes
Each case is unique, and treatment is tailored to the patient’s needs, lifestyle, and long-term goals.
















What to Expect

Personalised planning
Every veneer case begins with an in-depth consultation and smile analysis.

Natural results
Veneers are customised in shade, shape, and size to complement your existing teeth and overall facial aesthetics.

Lasting confidence
With proper care, porcelain veneers can last 10–15 years or more, giving you a smile that stays bright.
Learn more about getting dental veneers in Sydney.
Important Information
Results, potential risks, complications, and recovery times can differ for each individual. Any dental procedure carries both risks and benefits. For more information on risks and potential complications, please refer to our risks and consent page.
Before beginning any treatment, we recommend seeking advice from an AHPRA-registered health practitioner and considering a second opinion. This content is general in nature, intended for adults, and should not be taken as personalised medical advice.
All before-and-after images featured on this page are published with patient consent. No filters, editing, or AI tools have been applied.
Get In Touch
Ready to See What’s Possible?
Book a consultation with our cosmetic dentistry team today and start your own before-and-after story.
Mon to Fri: 8.00AM-5.00PM
Sat-Sun: Closed